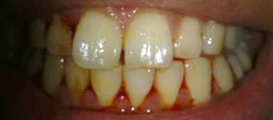
牙龈经常出血,可能是什么原因导致的?
牙龈老出血,是怎么回事呢?1、身体缺乏营养物质供给 在身体缺乏某些营养物质时,就容易出现牙龈出血的表现。
例如身体缺乏维生素C时,此时身体抵抗力下降,而且口腔细菌滋生速度快,容易降低口腔抵抗力,出现口腔健康问题。
因此,。

最近牙龈总是出血,是什么原因引起的呢?
1.刷牙方式的问题:错误刷牙对牙龈造成机械性损伤,刷牙力度过大,刷牙顺序不争取都会导致刷牙时出血。
正确的刷牙方法:也叫Bass刷牙法。
是竖刷法和横刷法交替进行。
竖刷法就是牙刷毛尖与牙齿表面呈45°角进行转动牙刷。
刷。
牙龈老是出血是怎么回事
造成牙龈出血的原因很多,可分为两大类:即局部因素和全身因素 牙龈出血多由局部因素所引起。
比如口腔不洁,牙齿周围存在牙结石等。
牙垢是软的,牙结石是硬的,都是不应有的污物。
由于牙龈不断受到牙垢和牙结石的刺激,加。

牙龈老出血是什么原因啊?
牙龈出血的原因很多,可分为两个大的方面。
一方面是口腔局部因素引起,如牙龈炎、牙龈瘤等。
另一方面是全身性疾病表现的牙龈出血,如贫血、白血病血友病等。
口腔局部因素引起的牙龈出血最常见。
多是由于口腔不清洁,使食物残渣。

